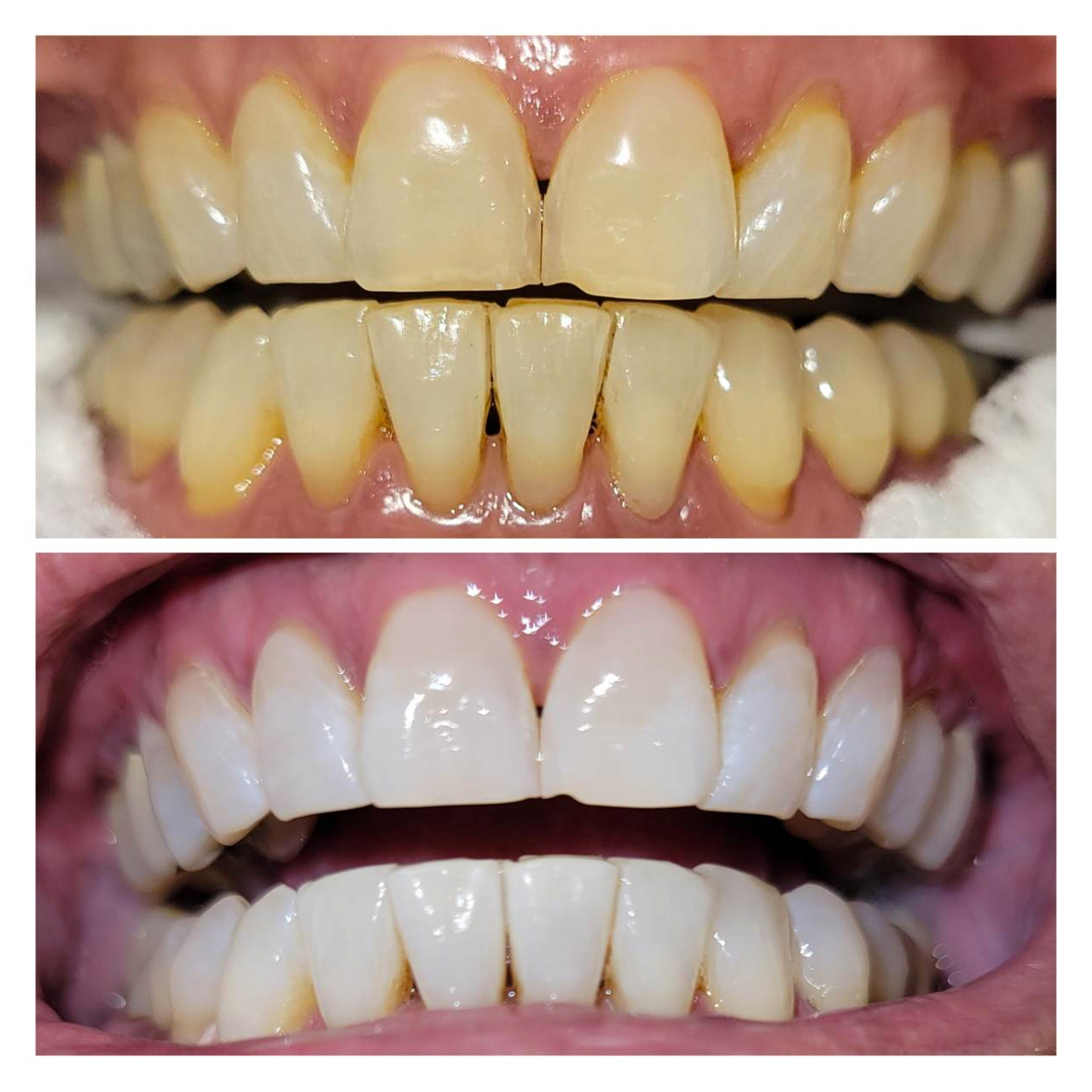
We’re excited to show you the incredible transformations that our professional teeth whitening services have achieved for our satisfied customers. Browse through our gallery to see the amazing results that can be achieved in just 45 minutes. Our teeth whitening services are a safe and effective way to brighten your smile and boost your confidence. Contact us today to schedule your appointment and start your own before and after journey!








